矯正治療を検討している患者さんの多くが気になるのが「治療期間」です。
歯列矯正は一般的に1年半〜3年程度の期間が必要とされるため、できるだけ早く治療を終えたいと考える方も多いでしょう。
矯正治療期間を短縮できる補助療法として注目されているのがPBMオルソ(光バイオモジュレーション)です。
今回は、PBMオルソとはどのような治療なのか、どのような効果が期待できるのか、現在の研究結果も含めて詳しく解説します。
PBMオルソとは?
PBMオルソとは、近赤外線を利用して、歯の移動を促進する治療法です。
Photobiomodulation(フォトバイオモジュレーション)とは
「光のエネルギーによって細胞の活動を活性化させる治療法」を意味します。
医療分野ではすでに
・創傷治癒の促進
・炎症の軽減
・痛みの緩和
などに利用されており、その作用を矯正治療に応用したものがPBMオルソです。
専用の光照射装置を口腔内に装着し、上顎4分、下顎4分だけ光を照射することで、歯を支える骨の代謝を促し、歯の移動をスムーズにすると考えられています。1日に1回のみ光を当てるだけで、矯正中の歯がゆい痛みから解放される画期的な方法なんです。

なぜ光で歯の移動が早くなるのか?
矯正治療では、歯に力を加えることで歯の周囲の骨(歯槽骨)が
・骨が吸収される部分
・新しく骨が作られる部分
という変化を繰り返しながら、歯が徐々に動いていきます。
この骨の代謝には、細胞の活動や血流が大きく関係しています。
PBMによる光照射は、細胞内のミトコンドリアに作用し、
・ATP産生の増加
・血流の促進
・炎症反応の調整
・骨代謝の活性化
などを引き起こすと考えられています。
その結果、歯の移動に必要な骨のリモデリング(骨の作り替え)が促進され、矯正治療の進行がスムーズになる可能性があります。
研究ではどのような結果が報告されている?
PBMオルソに関しては、近年多くの研究が報告されています。
いくつかの研究では、PBMを使用した矯正治療において歯の移動速度が約26〜40%程度増加する可能性が示されています。
また、歯列の整列速度を比較した臨床研究では、PBMを使用したグループの方が歯並びの改善が早く進む傾向が確認されています。
さらに、インビザライン矯正とPBMを併用した研究では、PBMを使用した患者の方が歯の移動速度が速く、治療期間が短縮されたという報告もあります。
ただし、研究によって結果にはばらつきがあり、照射条件や患者の個人差によって効果が異なる可能性も指摘されています。
そのため現在の歯科医学では、矯正治療を補助する可能性のある技術として研究が進んでいる段階とされています。
PBMオルソのメリット
PBMオルソには次のようなメリットが期待されています。
矯正治療期間の短縮の可能性
研究によっては、歯の移動速度が増加することで、矯正治療期間の短縮につながる可能性が示されています。
非侵襲的な治療
外科処置などを行う必要がなく、光を照射するだけの治療であるため、患者さんの身体への負担が少ないとされています。
痛みの軽減の可能性
PBMには炎症を抑える作用もあるため、矯正治療中の痛みが軽減される可能性も報告されています。
PBMオルソの注意点
一方で、PBMオルソにはいくつかの注意点もあります。
まず、すべての患者さんに同じ効果が出るとは限らないという点です。
矯正治療の進行速度は、年齢や骨代謝、歯の状態など様々な要因によって影響を受けます。
そのためPBMオルソは、矯正治療を確実に短縮できる方法というよりも、治療をサポートする補助的な技術として考えることが重要です。

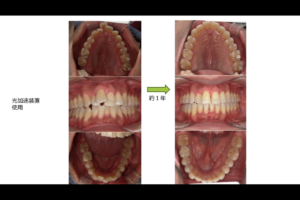
上の患者さんは、40代・男性で、主訴が前歯をきれいにしたいという方でした。なるべく早く治療を終えたいとのことで、光加速装置PBMを使用してもらいました。本来、40代以降の患者さんはマウスピース交換を10日毎に行ってもらうのですが、5日交換で交換が可能となります。
通常だと1年半かかるところ、約1年で治療を終える事が可能でした。
矯正治療費:99万円・光加速装置10万円
まとめ
PBMオルソは、光エネルギーを利用して細胞の活動を活性化させ、歯の移動を促進する可能性のある新しい矯正補助治療です。
現在の研究では
・歯の移動速度の増加
・矯正治療期間の短縮の可能性
・痛みの軽減
などの効果が報告されています。
一方で、研究はまだ発展段階にあり、すべての症例で同じ効果が得られるわけではありません。
矯正治療をより快適に進めるための新しい選択肢として、PBMオルソは今後さらに研究が進んでいく分野と言えるでしょう。
矯正治療の方法や補助装置については、患者さんそれぞれの歯並びや治療計画によって適切な方法が異なります。
気になる方は、是非ご相談して下さい。

