歯磨きの際に歯肉から血が出る、歯肉が腫れている、口臭が気になるといった症状を感じたことはありませんか。
これらの症状は、歯周病のサインである可能性があります。
歯周病は日本人の成人の多くがかかっているといわれる身近な病気ですが、初期の段階では自覚症状が少ないため、気づかないうちに進行してしまうことが少なくありません。
歯周病とは、歯肉や歯を支えている骨などの組織に炎症が起こる病気です。
主な原因は歯垢(プラーク)と呼ばれる細菌のかたまりです。
歯磨きが不十分な状態が続くと、歯と歯肉の間に細菌がたまり、歯肉に炎症を引き起こします。
初期の段階では歯肉が赤く腫れたり、歯磨きの際に出血する程度ですが、進行すると歯を支えている骨が少しずつ溶けていき、最終的には歯がぐらついたり抜けてしまうこともあります。
歯周病の治療では、まず基本となる治療を行います。
具体的には、歯石の除去や歯の表面の清掃を行い、歯周病の原因となる細菌を減らすことが重要です。
また、日常のブラッシング方法を見直し、歯垢をしっかり取り除けるようにすることも大切です。
これらの基本的な治療によって、多くの場合は歯肉の炎症が改善していきます。
しかし、歯周病が進行している場合には、通常のクリーニングだけでは改善が難しいことがあります。
歯周ポケットと呼ばれる歯と歯肉の間のすき間が深くなると、器具が届きにくくなり、歯の根の奥に付着した歯石や細菌を十分に取り除くことができなくなるためです。
このような場合に行われるのが歯周外科治療です。
歯周外科治療とは、歯肉を一時的に開き、歯の根の深い部分に付着した歯石や感染した組織を直接確認しながら取り除く治療です。
歯肉を開くことで、通常の器具では届かない部分までしっかりと清掃することが可能になります。
また、歯周病によって失われた骨の回復を促す再生療法を行う場合もあります。
すべての歯周病に対して歯周外科治療が必要になるわけではありません。
多くの場合は、歯石除去やブラッシング指導などの基本的な歯周治療によって改善が期待できます。
しかし、歯周病が進行している場合や、基本治療だけでは十分な改善が得られない場合には、歯周外科治療を検討することがあります。
歯周外科治療が適応となる主なケースには、次のようなものがあります。
・歯周ポケットが深い場合
歯と歯肉の間にある歯周ポケットが深いと、通常の器具では奥まで清掃することが難しくなります。そのような場合、歯肉を開いて歯の根の表面を直接確認しながら歯石や感染組織を除去することで、より確実な治療が可能になります。
・歯の根の奥に歯石が残っている場合
歯周病が進行すると、歯肉の奥深くまで歯石が付着することがあります。歯周外科を行うことで、肉眼で確認しながら歯石を取り除くことができます。
・歯を支える骨の欠損がある場合
歯周病によって歯を支える骨が部分的に失われている場合には、歯周組織再生療法などの外科的治療によって骨の回復を促すことがあります。
・歯肉の形態を整える必要がある場合
歯肉の形が不整で清掃が難しい場合には、歯肉の形を整えることで歯磨きがしやすい環境を作ることがあります。
歯周外科治療と聞くと、不安に感じる方もいるかもしれませんが、局所麻酔を使用して行うため、治療中の痛みはほとんどありません。
処置時間は症状や治療内容によって異なりますが、比較的短時間で終わることが多く、術後の腫れや痛みも通常は数日で落ち着くことがほとんどです。
歯周病は、早期に発見して適切な治療を行うことで進行を抑えることができます。
また、治療後も定期的なメンテナンスを行うことで、歯周病の再発を防ぐことが大切です。
歯肉の出血や腫れなど、気になる症状がある場合は放置せず、早めに歯科医院で相談することをおすすめします。
健康な歯と歯肉を保つためには、日頃のセルフケアと定期的な専門的ケアの両方が重要です。お世話になっております。

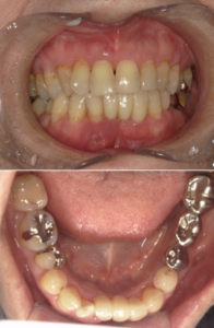
90才の患者さんで、歯周病の悩みとして、前歯のぐらぐらを主訴に来院されました。
自分の祖母なので、口の中の写真は使わせていただきました。
下の前歯部の歯肉腫脹や舌側の歯石があった為、優しめの超音波スケーラーで歯石除去しました。
前歯に動揺があった為、スーパーボンドという歯科で最も強固な固定剤で動揺歯を固定して、様子を見ていますが、歯の揺れが収まって、何でも美味しく食事できてるそうです。
歯の揺れなど歯周病で、お困りの方、いつでもご相談下さい。
医療法人社団 健晃会
理事長
大平 晃

