未来を見据えた矯正治療
アメリカでは、歯並びが就職や出世にまで影響を及ぼすと考えられていますが、日本でも年々矯正を始める方が増えはじめています。
当院では、審美面と機能面を改善・維持する矯正治療を取り入れ、患者さんに最高の笑顔をプレセントするお手伝いをさせていただきたいと思います。
症例紹介
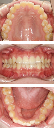
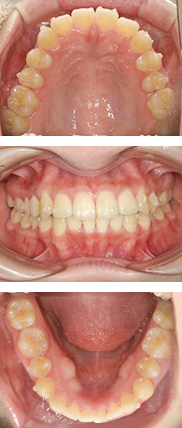
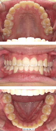
インビザライン症例(前歯のみ動かすマウスピース矯正)
治療費用:33,000円+66万円+5,500円×10+55,000円(リテーナー)
マウスピースの中にホワイトニング剤(6,600円)を入れることで、同時にホームホワイトニングを行いました。
矯正前
矯正中(約6ヶ月後)
矯正後(約4ヶ月後)
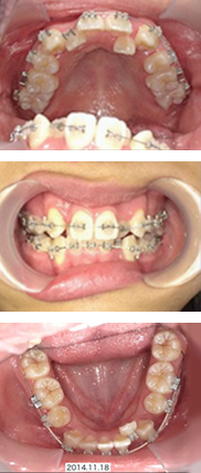
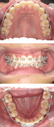
全体矯正症例
16才 女性
顎の成長が終了してから抜歯を行い、スペースを確保してそこにゆっくりと歯を移動させていきます。
歯並びも咬み合わせも整い、無事に矯正装置を外すことができました。
矯正前
矯正中
矯正中
矯正後
当院が選ばれる理由
Point01
セファログラムによる精密な検査
Point02
歯科用CTを用いた精確な診査・診断
Point03
光学スキャナーiTeroの導入
Point04
矯正歯科専門医
6 Advantages
矯正治療の6つのメリット
-
01.審美面が改善される -
02.しっかり噛めるようになる -
03.歯みがきがしやすくなる -
04.老化予防につながる -
05.むし歯・歯周病の
予防につながる -
06.口呼吸の改善が
期待できる
マウスピース型矯正装置を
ご存知ですか?
取り外しができる
むし歯リスクが少ない
当院ではマウスピース型矯正装置・インビザライン
(薬機法対象外)を取り扱っています
マウスピース型矯正装置・
インビザライン
(薬機法対象外)
のメリット・デメリット
-
メリット
- 透明で目立ちにくい
- 取り外しが可能
- むし歯のリスクが少ない
- 適応範囲が広い
- 金属アレルギーの方でも使用できる
- クリンチェックで歯の動きをシミュレートできる
- お手入れが簡単
-
デメリット
- 1日約20時間以上の装着が必要になる
- 医師の技術により結果が左右される
- ライセンスを付与された医師しか治療できない
- 顎咬合のズレが大きい症例には対応できない
- 治療後もリテーナーの装着が必要になる
治療の流れ
-
STEP 01
歯並びのスキャンデータ取り込み -
STEP 02
顔面写真撮影(顔貌撮影) -
STEP 03
レントゲン撮影 -
STEP 04
治療費についてのご説明 -
STEP 05
CT検査 -
STEP 06
全てのデータに基づいてカウンセリング -
STEP 02
顔面写真撮影(顔貌撮影) -
STEP 07
クリンチェック -
STEP 08
アライナーの発注・作製 ※マウスピースは3~4週間後に届きます -
STEP 09
治療開始
クリンチェックとは
理想の歯並びを実現するために
スピード矯正
光加速装置で治療期間を最短1/2に
光で細胞を活性化させることをフォトバイオモジュレーション(PBM)といい、非侵襲な治療法として矯正治療だけでなく皮膚や脳神経の治療にも役立てられています。
光加速装置(PBMオルソ)の特長
-
Point 01
装置をつけたまま使える
ワイヤー装置、マウスピースともに装着したままご使用できます。 -
Point 02
歯の動きが早くなる
歯の移動速度が速まり、治療期間やアライナーの交換周期が短縮化します。 -
Point 03
痛みを軽減
再生中の組織にエネルギーを与えることで痛みを軽減します。
PBMオルソの使用方法
-
クリニックにて装置を購入 -
お好きな場所でセルフケア
PBMオルソの手順
-
STEP 01
マウスピースを
上顎に装着する -
STEP 02
近赤外線を
4分間照射する -
STEP 03
マウスピースを
下顎に装着する -
STEP 04
近赤外線を
4分間照射する -
STEP 05
施術完了
顎関節にもやさしい矯正治療
矯正治療では歯並びだけでなく、噛み合わせや顎関節への影響も考慮することが大切です。
当院では、顎の動きや負担に配慮した治療計画を立てることで、健康的で自然な噛み合わせを目指しています。
見た目の美しさだけでなく、長期的なお口の健康を守る矯正治療を心がけています。
口腔内スキャナー「iTero」で
当日シミュレーション
従来の型取りは苦しい・時間がかかるというイメージがありましたが、先進の口腔内スキャナー「iTero」を使うことで、負担を少なく精密なデータを取得できます。
また、マウスピース矯正の見本を手に取って、実際に触っていただくことも可能です。
ワイヤー矯正も、透明のブラケット装置と白いワイヤーで目立ちにくいです。
表側矯正(ワイヤー矯正)
多くの症例に適合する実績ある治療法
歯の表面にブラケットを接着し、ワイヤーを通して歯を動かします。ワイヤー矯正は歴史が長く、実績もあり、大きく歯を動かすことができるため、幅広い症例に対応が可能です。
表側矯正の適応症例
表側矯正のメリット・デメリット
-
メリット
- 多くの症例に対応が可能
- 治療の実績がある
- 歯を大きく動かす治療ができる
- 咬み合わせの改善ができる
- 歯と歯の間隔を調整しやすい
- 歯を削る必要がない
-
デメリット
- 治療が長期間必要
- 痛みを感じることがある
- 歯みがきがしづらい
- 装置で口を傷つけることがある
- 粘着性のある食品など食べられない物がある
- 通院して定期的なメインテナンスが必要
部分矯正(MTM:マイナー
トゥース ムーブメント)
短期間で治療を終えたい方に
主に審美面の改善を目的とした矯正方法です。治療期間が比較的短く、痛みも少ないことが特徴です。動かすスペースを作るために健康な歯を削る必要が生じる場合があります。
部分矯正に適した症状
-
軽度の上顎前突
(出っ歯) -
軽度の八重歯やガタツキ -
空隙歯列
(すきっ歯)
部分矯正のメリット・デメリット
-
メリット
- 動かす本数が少なく経済的な負担が軽い
- 治療期間が比較的短くて済む
- 比較的痛みが少なく済む
-
デメリット
- 治療できる範囲が限定的になってしまう
- 顎全体を動かすことはできない
- 健康な歯を削ってスペースを確保する場合がある
- 歯並びが戻ってしまうことがある
症例紹介
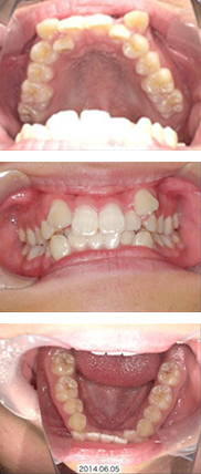
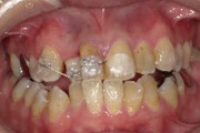
部分矯正症例
40代 女性
費用や期間の面で、全体矯正治療ができない方には、部分矯正治療を行う事も可能です。
ただし、追加でセラミック治療が必要になる場合もあります。
部分矯正治療費:54,000円
ジルコニアセラミック:108,000円(1本当たり)
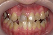
矯正前
右上の前歯に、凸凹があり、むし歯で変色していました。
矯正中
右上の前歯3本に、透明なブラケットと白いワイヤーで部分矯正をしました。
矯正後
約4か月後には、前歯の咬み合わせが改善し、ジルコニアセラミックで、綺麗な前歯にしました。
小児矯正
歯が生えそろってから、永久歯に生え変わるまでの間、子どもの口の中はめまぐるしく変化していきます。歯の生え方や咬み合わせの治療はもちろん、歯列の乱れとなる根本的な理由を探し、早期に改善する取り組みを行っています。
子どもの矯正をおすすめする
4つのメリット
-
Merit 01
痛みが少ない
治療のタイミングを成長期に合わせることで歯の移動を速やかにし、痛みを軽減することができます。 -
Merit 02
装置によるストレスを受けにくい
子どもは適応能力や柔軟性が高く、大人にとってストレスな装置もスムーズに受け入れられる傾向があります。 -
Merit 03
抜歯をしない治療が期待できる
顎の成長と矯正のタイミングを合わせることによって、顎を広げたり、歯のスペースを確保することが可能になります。 -
Merit 04
費用の負担が軽減される
大人に比べて治療が短期間で終了するため、費用の負担が軽くなります。
小児矯正の2期治療
口腔筋機能療法(MFT)
健全な
お口の発育を
促す
正しいお口の機能を身につけることで、
健やかな発育を促していきます
MFT(口腔筋機能療法)とは、お口周りの筋肉のバランスを整えるトレーニングです。「食べる・話す」といった動作で舌や唇の正しい位置や使い方を身につけることで、歯並びに影響する悪い癖を改善し、健全な発育を促します。さらに矯正治療後の後戻りを防ぐ効果も期待できます。
スポットポジション
舌の先を上の前歯の裏側(スポット)に軽く当て、正しい舌の位置を習得します。口腔筋機能療法の基本となります。
あいうべ体操
あいうべ体操は、口腔周囲の筋肉を鍛える体操です。鼻呼吸の習慣づけや嚥下機能の改善に役立ちます。
POINT!
- ✓正しい舌の位置や使い方を習得できる
- ✓歯並びや咬み合わせの安定につながる
床矯正
骨格の
土台作り
成長に合わせて無理なくあごを広げ、
歯の並ぶスペースを確保します。
床矯正とは、お子様の成長を利用してあごを広げ、歯が並ぶスペースを確保する治療法です。取り外し可能な装置を使うため、食事や歯みがきも普段通りに行えます。永久歯の抜歯を避けられる可能性があり、将来の歯並びを整えやすくすることを目的とした治療です。
治療前
あごが小さく、歯が並ぶスペースがありません。
床矯正
床矯正であごを広げて、スペースを確保します。
治療後
正しい位置に歯が並びます。※Ⅱ期矯正が必要な場合があります。
POINT!
- ✓成長期を活かした治療
- ✓抜歯の回避につながる
- ✓取り外しが可能
床矯正にベストな治療の
タイミング
床矯正のメリット・デメリット
-
メリット
- 自由に取り外しができる
- 抜歯をしない矯正治療が期待できる
- 好きな食べ物が食べられる
- 歯みがきしやすい
- むし歯になりにくい
-
デメリット
- 効果的な治療の時期が限られている
- 後戻りしやすい
- 歯ぎしりなどで装置が壊れてしまう可能性がある
理事長からのメッセージ
初診矯正相談についてHPに記載するので、見ておいてください。
矯正相談について
歯を診るscanと術後シミュレーションまでは無料です。
ただ、歯根をレントゲン撮影しないと矯正に耐えうる歯かどうかを診断することができないため、有料基本検査をお勧めしております。
歯周基本検査とパノラマなら、窓口で3,000円程度です。(18歳以下は無料)
精密検査は、CT撮影等、立体的に歯根や顎骨を検査するため、33,000円を頂戴します。
未成年の方が初診カウンセリングを受けていただく際には、保護者の方と一緒に来院していただきますようお願いいたします。
歯は矯正治療をするしないに関わらず、常に少しずつ動き続けているため、治療後同じ状態をキープするのは大変なことで、MFTやリテーナーが必須となります。
ズレを最小限に抑えるために保定装置を使用していただいたり、生活習慣などもお伺いしたいため、保護者の方のサポートが必要となります。
予約のキャンセルについて
基本的にはキャンセル料をいただくのではなく、繰り返しのキャンセルを行う方に対しては、急患枠で予約し、お待たせする可能性があることをお伝えしております。
ただし、動的矯正治療中は、3ヵ月来院が途絶えてしまうとトラブルになる可能性があるため、キャンセル料として5,500円をいただく形で対応いたします。
矯正治療の契約時には、このことも含めて同意していただいた上で矯正治療を開始します。
キャンセル料は「医院への損害補填」であり、繰り返しの遅刻やキャンセルが他の患者様へのご迷惑となっていることをご理解いただくことで、周り回って皆様のご予約が取りやすくなると考えています。
当院が無料矯正相談から簡易検査を勧めるのには理由があります。矯正相談のために「貴重な時間」をお互いに使っている、という価値観の患者様を大切にしたいからです。
そして「時間」に対して対価を払うのは当然だと考える価値観の方とお付き合いをしていきたいからです。
私たちが提供すべきなのは、ネットで調べたら分かるような情報ではなく、真の価値ある情報です。
その情報提供をするために長年勉強をしてきましたし、スタッフにも研修を受けてもらっています。
当院の矯正担当医は、矯正歯科を10年以上勉強してきておりますので、予後を考えた矯正治療を提案しています。
また、各専門分野の先生が在籍しているので、顎変形症の方は東大病院や横浜市立大学の口腔外科に紹介することもあります。
治療してある歯が多い方の場合や外科矯正の場合には、担当医と一般歯科医との連携が大切で、管理料で30万円程かかる医院もあるそうです。当院では、仮歯費用は1本5,000円で行っており、材料費としていただく程度ですので、ご安心ください。

